KURSY 2026
Home
Szkolenie
Instytut
Mentorzy
Idea
Zapisz się
Galeria
Absolwenci
Dofinansowanie
Kontakt
Galeria
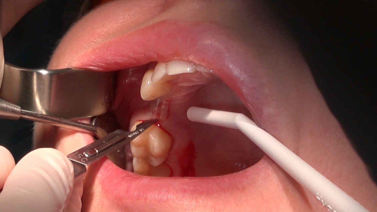
practiculum implantologii
PRACTICULUM IMPLANTOLOGII - SEZON X - SESJA 4 - GRUPA A
Wróć