Galeria

practiculum implantologii
PRACTICULUM IMPLANTOLOGII - SEZON X - SESJA 5 - GRUPA B

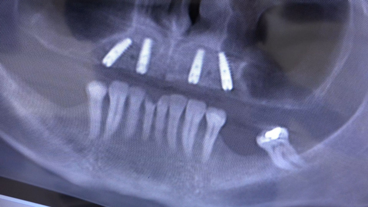
Chirurgia implantologiczna to temat wiodący 5 Sesji X Sezonu Practiculum Implantologii, która się odbyła 23-24 października 2020 roku. Bierze w nim udział 16 adeptów implantologii stomatologicznej. Zabiegi z udziałem Pacjentów jak zwykle poprzedziło omówienie i planowanie, tym bardziej, że zgodnie z planem wykonana została implantacja z wykorzystaniem szablonu chirurgicznego, który przygotowało laboratorium dentystyczne Wiligała Lab. Kursanci wykonywali szereg zabiegów implantologicznych i chirurgicznych oraz regeneracyjnych z zastosowaniem PRF, w tym sinus lift. Przeprowadzali je pod kierunkiem Lidera Umiejętności Implantologicznych dr n.med. Violetty Szycik, która wysoko oceniła wykonanie zabiegów.